La place de la chirurgie mini-invasive dans l’hémorragie intracérébrale spontanée: étude MIND

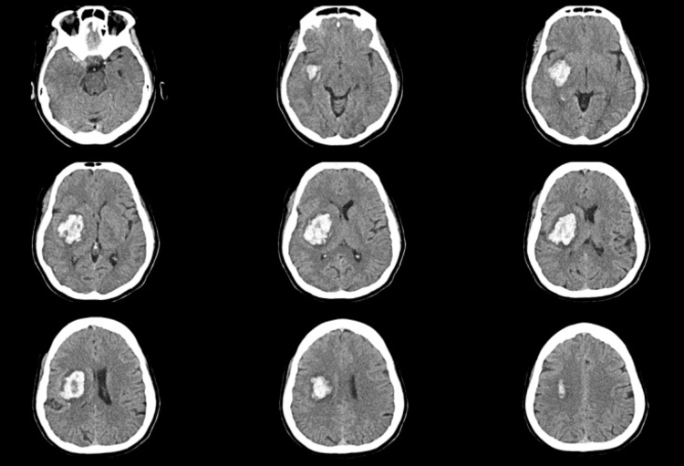
L’hémorragie intracérébrale spontanée (HIC-S) représente environ 10 à 15% des AVC et demeure l’une des formes d’AVC les plus sévères, avec une mortalité à court terme estimée entre 30 et 40% et un taux élevé de handicap fonctionnel chez les survivants. Malgré des décennies de...

Vous souhaitez continuer à lire cet article ?

L'accès à la totalité de l'article est réservé aux professionnels de la santé.

Si vous êtes un professionnel de la santé vous devez vous connecter ou vous inscrire gratuitement sur notre site pour accéder à la totalité de notre contenu.
Si vous êtes journaliste ou si vous souhaitez nous informer écrivez-nous à redaction@rmnet.be.